いつも見に来ていただいてありがとうございます。
初めての方は初めまして (`・ω・´)v
つわりがヒドくて更新が滞ってます。
先週と今週の妊婦検診のことを書いておこうと思います((φ(-ω-)
先々週の産婦人科診察では心音を確認できたので、
ついに市役所で母子手帳を受けとりました。
今回は母子手帳と一緒に交付された
妊婦一般健康審査受診券などを使って採血や超音波検査などをしました。
妊婦一般健康審査受診
血液型の検査や様々な抗体検査をするので、
たくさんの量を採血するのでベッドに横になるんですが、その間、
いーさん(2歳)はベッドのすぐ脇で、なぜかちょっとウキウキしながら
血を抜かれていく母を見守ってくれてました(^д^;)
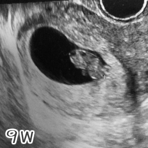
その後は超音波検査。

大きさは1.95cmになり、形もデコボコと変化が見られ
ちょっと人間らしい形になってきたかな( 'Θ' )
この日は病院滞在時間30分くらいだったので、
気持ち的にとても楽でした。
検診後は、病院の隣にあるS助産院へ見学に行きました。
S助産院の見学
外観は一般的な住宅で、中に入ると
書類やぬいぐるみなどの物がワラワラあって
誰か知り合いの家のようで緊張感は皆無。
スタッフさんも丁寧に分娩室や部屋を案内してくれました。
分娩台は病院のものと同じ感じ。
以前、分娩室で見た、産まれたばかりの赤ちゃんを入れるケースや
機械も完備していて、他の部屋からはカーテンで仕切られるようになっていました。
ただ分娩するときは、母子とものストレスフリーな横向きだそうです。
産後の部屋にはベッドと畳スペースがあり、
希望があり特に問題なければ畳の上で産むこともできるそうです。
各部屋にはシャワー室、トイレ、洗面台、冷蔵庫、レンジ、テレビ有り。
また一番気になっていた会陰切開について確認すると、
「産前からレモン水を飲んでもらって筋肉が柔らかくするようにしたりと
一緒に準備していくのでみんな会陰切開せずに産んでます。
なので出産翌日からみんな動いてますよ」と頼もしい言葉を得ました。
ちなみに産後は、夫、子供を一緒に宿泊することも可能らしいです。
注目点は夫も、という点。子供だけだと、どうしても
赤ちゃんを放っておく時間ができてしまうので、
子供を宿泊させる場合は夫同伴でお願いしているようです。
それから一週間後に妊婦一般健康審査の結果を聞きに行きました。
妊婦一般健康審査の結果
特に問題なし!
なので、次回からS助産院に直接予約電話して行くことになりました。
この日も30分くらいで病院は出れたんですが、
便秘がひどいので下剤を処方してもらったため
薬局で30分ほど待つはめになりました( ̄Д ̄;;
なぜかこの日は病院も薬局も混んでたんです。
この待ち時間、つわりがあるので、かなりツラかったです…。